Pregnancy is a time for smiling! It is also a time to pay special attention to your teeth and mouth for the health of YOU and your BABY…
Is It Safe To Go To the Dentist During Pregnancy?
Yes , it is! and you should. However, the second trimester is the safest trimester to have dental procedures.
Your dentist can help you with any pregnancy-related dental symptoms you might be experiencing.
How Might Pregnancy Affect My Mouth?
Most women do not experience any dental discomfort when they are pregnant.
However, pregnancy (in few cases) can make conditions worse – or create new ones. Regular checkups and dental health habits can help keep you and you baby healthy.
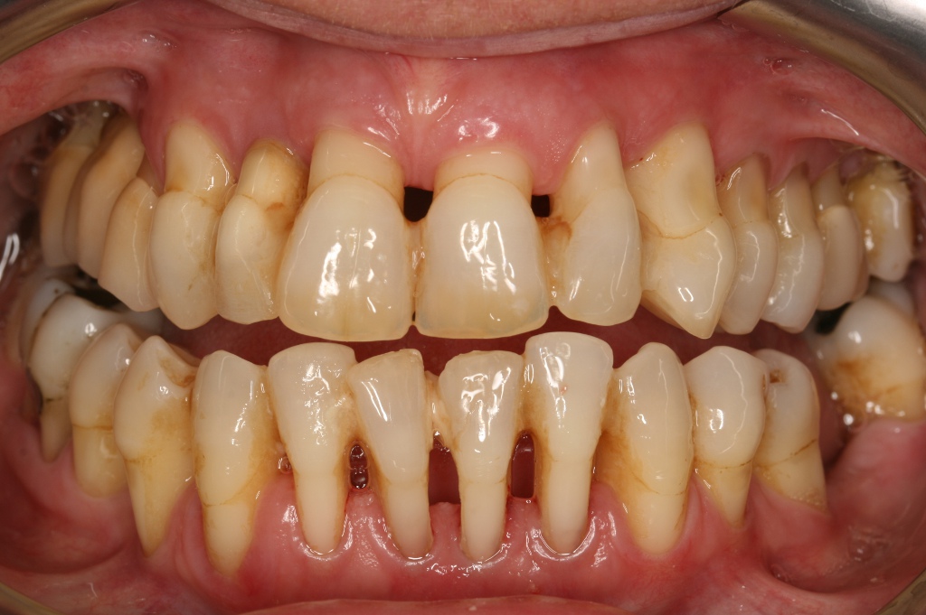
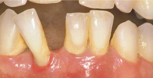
1)Pregnancy Gingivitis
Your mouth can be affected by the hormonal changes you will experience during pregnancy. For example, some women develop a condition known as ” pregnancy gingivitis ” an inflammation of the gums that can cause swelling, tenderness, and bleeding gums. your dentist may recommend more frequent cleaning to prevent this.
2)Periodontitis
When gingivitis is left with no treatment it will lead eventually to periodontitis. which not only shows in sore and swollen gums, but also an infection that spreads to the jaw bone. So regular cleansing and dental visits are recommended to treat early gingivitis.
3) Increased tooth mobility
If periodontitis was not treated and the bone became infected, teeth can become loose and fall out. Thats why it is really important to take good care of your teeth in your early pregnancy.
4)Increased Risk of Tooth Decay
Pregnant women may be more subject to cavities due to morning sickness which can increase the amount of acid your mouth is exposed to, which can eat away at the outer covering of your tooth (enamel). A pregnant woman must brush twice a day and floss once in order to prevent tooth decay.
5)Pregnancy Tumors
In some women, overgrowth of tissue called “pregnancy tumors” appear on the gums, most often during the second trimester. It is not cancer but rather just swelling that happens most often between teeth. They may be related to excess plaque,but they will disappear after your baby is born.
Can i get dental X rays during pregnancy?
If you have an emergency and need to take a dental x ray, the dentist will cover you with a lead apron that minimizes the exposure to your abdomen.even your throat will be covered by a leaded collar to protect the thyroid from radiation.
![]() |
| lead apron |
Prepared By Dr. Nour Seifeddine
Bachelor of Dental Surgery (BDS) Beirut Arab University (Lebanon)
Clinic Address: Tal Street / Taalabaya / Bekaa / Lebanon
Mobile: +961 3 67 68 03







